여의도교정. 서울대학교 교정전문의가 진료하는 신도림 역개교정의원 (서울대학교 교정전문의 상담 02 886 2877)

– 상하악 치아 이동을 위한 특수교정장치-

-하악전방 및 상방회전을 이용한 비수술 무턱교정 -거미웃음교정을 이용한 비수술 무턱교정

상악 어금니 거상술을 통한 비수술 무턱교정

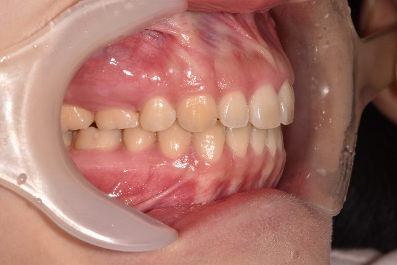
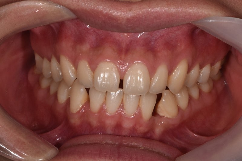
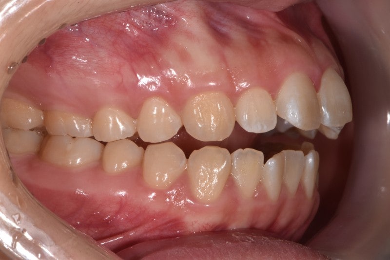
다. 비수술적 안면비대칭교정 한쪽 턱관절에서 하악이 반대쪽으로 틀어져 상악골이 좁아져 교합이 생긴 경우, 안면비대칭의 어긋남을 교정하면서 양악수술 없이 교정으로 교정할 수 있습니다. 악관절. 아래턱은 위턱을 통해 연장됩니다. 비수술적 상악거상술(양쪽 상악이 좁은 경우) –

– 일측성 상악거상술(하나의 상악골만 좁은 경우) –

-비수술적 안면비대칭교정 사례-사례1(일측성 비대칭 상악연전)

사례 2(양측 대칭 상악 확장)

가이교정과는 신도림역(구로현대백화점) 1번 출구 맞은편에 위치한 20년 이상의 전통을 가진 교정 전문 치과입니다. 외과의사로서의 교정학 저널.

저희 한의원에서는 일반교정, 돌출입교정 등 일반적인 교정도 많이 하지만 턱관절 내 하악의 위치변화를 이용한 비수술 무턱교정, 비수술 안면거상술 등 난이도가 높은 특수교정도 처진교정, 구미스마일교정, 역관절교정 등이 가이교정의 주요 진료과이며 실패한 교정을 바로잡는 인비절라인 등의 교정을 위한 치과의원이기도 합니다. 해냈고, 치열교정 치료비용을 줄여서 교정환자들에게 돌려드리고자 열심히 노력하고 있습니다. 가이교정과는 컴퓨터 분석과 정확한 진단과정을 통해 개개인의 뼈를 과학적으로 분석하여 개개인의 얼굴형에 따른 맞춤형 교정진단과 치료를 진행하고 있습니다. 우리는 계획을 세우고 있습니다. 합리적인 교정비용으로 서울대학교 가이교정과의 교정전문의들에게 질 높은 교정치료를 받아보세요. 교정, 월간 치료 및 유지 장비 포함 (치은교정 특수장비 500,000원) 소아교정 195만원 금속교정 269만원 세라믹교정 298만원 메탈클립PC교정 298만원 클립PC교정 346만원 턱세라믹) 498만원 비 -수술적 양악교정/반전교정 499만원 구음교정 699만원 Tel : 02 886 2877, 02 2676 2877 온라인 상담 : http://www.egai.org/

치열 교정! 가이치과에 오신 것을 환영합니다. 이전 다음 손희욱 원장님의 교정 이야기 자세히 보기 하지만 최근에는 교정만으로도 앞니의 치아와 뿌리를 모두 수복하는 방법이 개발되었습니다. 치근 이동은 힘을 가하여 앞니 뿌리 근처에서 앞니를 뒤로 당기는 방식으로 수행됩니다. 그리고 앞니에 굵은 사각선 2개도 끼우고… www.egai.org

카카오톡 상담 : 카카오톡 아이디 gaidental -눈에 띄는 정정-

-교정술-

– 매복 치아 교정 –

– 피개교합 교정 –

-치간교정- -개폐교정- -비수술적 무턱교정- -임플란트교정 대신 사랑니 발치(임플란트 교체교정) -치아교정#东洁岛서울대교정전문의#东洁岛儿童교정비용#东洁岛中学校外交费费#东洁岛高中伤外费费#东洁岛小学修复费费#叶洁岛中年使复处费#叶洁岛老人교정 비용